척추협착증 수술비용 허리통증을 가지고 계신 분들이라면 궁금해하실 것 같은데요. 허리 통증은 허리를 삐끗했을 때 근육의 불균형 등으로 생길 수가 있는 문제입니다. 척추협착증 요즘에는 나이와 상관없이 잘 발생하고 있는데요. 나이가 있으신 분들은 아무래도 좀 더 조심해야 할 것입니다. 오늘은 척추협착증 수술비용 척추협착증 증상에 대해서 알려드리도록 하겠습니다.



척추협착증
우리 몸은 여러 신경조직으로 구성이 되어 있고 신경 조직들은 뇌에서 시작해서 척추관을 지나 몸의 모든 부분으로 이어지게 되는데요. 척추협착증은 척추관이 다양한 원인에 의해서 좁아져 신경을 누르면서 통증을 동반한 유착과 염증을 일으키게 되는 증상입니다.
많은 사람들이 척추협착증과 허리디스크 이 두 가지 차이점을 잘 모르시는 것 같은데요. 척추 사이에 충격을 완화시키기 위한 디스크라는 구조물이 있는데요. 이 디스크가 여러 가지 외부 요인으로 인해서 양 옆으로 밀려 나오거나 파열되는 등 신경을 압박하게 되는데요. 이로 인한 통증과 마비 증상 등을 일컬어서 디스크라고 말합니다.
디스크를 다른 말로 하면 추간판 탈출증이라고 부르기도 합니다. 척추관 역시 나이가 들어가면서 좁아지는 경우가 많은데요. 또한 선천적으로 남들보다 좁은 경우도 있어서 젊은 사람들도 충분히 걸릴 수 있는 질환이라고 할 수 있겠습니다.



척추협착증 증상
보통의 허리통증은 많은 질환이 갑자기 나타나는 경우가 많은데요. 척추협착증은 급성이라기보다는 점차적으로 증상이 악화됩니다. 척추협착증으로 인한 통증과 불편함이 점차 나이가 들면서 발생하는 것으로 여겨서 질환이 악화되기도 하는데요.
척추협착증 증상 대표적인 증상은 다음과 같습니다. 허리를 뒤로 젖히면 통증이 증가하고 반대로 앞으로 숙이게 숙이게 되면 통증이 완화됩니다. 이 통증은 허리 통증뿐 아니라 골반과 꼬리뼈 그리고 엉덩이 통증으로 이어지기도 합니다.



척추협착증 증상 다음으로는 다리가 저리거나 통증이 오는 경우인데요. 장시간 걷는 것이 어려워지고 걷다가 쪼그려 앉으면 통증은 다시 완화됩니다. 통증이 심해지면 큰 보폭으로 걷는 것이 힘들어지고 나중에는 걷는 것조차 힘들어질 수도 있습니다.
신경을 눌러서 질환이 생긴다는 점은 허리디스크와 비슷한데요. 허리디스크는 빠른 시간 내에 진행이 되는 급성의 경우가 많은데 척추협착증은 서서히 증상이 악화되는 경우가 많습니다.
위와 같은 척추협착증 증상을 방치한다면 통증이 심해져서 보행장애 또는 신경병증으로 인해 감각마비 하지근력의 저하 증상 등이 나타날 수 있고 나아가서는 대소변을 보는데도 장애가 올 수도 있습니다.
그러한 단계까지 온다면 일상생활을 하는데 무리가 올 수 있기 때문에 척추협착증 증상이 나타난다 생각이 든다면 초기에 빨리 대처하시는 것이 좋겠습니다.



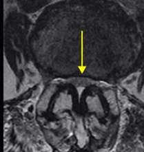
척추협착증 진단
척추협착증 진단, CT와 MRI 촬영 등을 통해서 척추관 크기와 주변 관절과 인대, 추간판의 상태를 알아보고 종합적으로 진단을 하게 됩니다. 근전도 검사와 신경전도 검사도 함께 병행해서 하게 되겠습니다.



척추협착증 치료
척추협착증 치료는 환자에 상태에 따라 다르게 진행이 되겠는데요. 약물치료, 물리치료, 주사치료 그리고 운동치료 등이 시행이 될 수 있습니다. 심한 척추협착증 증상을 가지고 있는 경우에 예를 들면, 대소변 장애와 신경학적 증상 그리고 하지마비 등의 증상이 나타날 경우에는 수술이 불가피할 수도 있습니다.
척추협착증 치료 초기에는 비교적 간단히 할 수 있는데요. 휴식을 취하거나 소염진통제 그리고 근육이완제 등을 복용해 초기단계 척추협착증 증상을 완화시킬 수 있습니다.



또한 혈액순환을 돕는 약을 처방받아먹기도 하고 척추관 안에 약물을 주사하는 등의 주사치료도 초기에는 효과가 있습니다. 이는 물론 척추협착증 초기에 가능한 치료법이고, 이렇게 해도 낫지 않는 척추협착증 증상을 가지고 있는 경우는 담당 의사와 상이해서 수술을 해야 할 수도 있습니다.
대부분의 허리질환은 완치가 되기는 힘들고 통증을 완화시키는 개념이기 때문에 치료 후에도 꾸준한 관리를 하는 것이 굉장히 중요합니다.



척추협착증 수술비용
척추협착증 수술비용 척추협착증 증상이 심해서 수술을 앞두신 분들에게는 궁금해하실 만한 사항인 것 같은데요. 척추협착증 수술은 간단한 수술이 아니고 고도의 기술이 필요한 수술이기 때문에 가격대가 어느 정도 있다는 것은 알고 계셔야 할 것 같습니다.
병원마다 척추협착증 수술비용이 다르고 환자의 상태에 따라서 수술비용의 차이는 어느 정도 있을 수 있는데 보통 척추협착증 수술비용은 400만 원 이상은 생각하셔야겠습니다. 이는 중요한 부분의 수술이고 수술 난이도도 높기 때문에 무조건 저렴한 가격만 생각해서 수술을 결정하시는 것이 아니라, 반드시 의료진의 숙련도와 경험 여부 등을 잘 살펴보시고 수술을 결정하시는 것이 좋습니다.



오늘은 척추협착증 수술비용 비롯해 척추협착증 증상에 대해서 알아보았습니다. 척추는 몸의 가장 중심에 자리 잡아서 몸의 기둥을 역할을 하고 있는 중요한 부분이기 때문에 한번 아프기 시작하면 통증으로 인한 스트레스가 어마하다고 보시면 되겠습니다.
그렇기 때문에 위와 같은 척추협착증 증상 꼭 잘 인지하고 계셨다가 초기에 잘 대처하셔서 수술로까지 이어지는 일이 없도록 잘 관리를 하는 것이 중요하겠습니다.